Hyaluronic acid is a naturally occurring biomaterial that is ubiquitous in the extracellular matrix of virtually all multicellular life. It has no known safety risk and works by providing a supportive scaffold for tissue healing

Consider our Sample Program, which involves a 20min virtual call. One of the PerioVive Doctors shares the key information on the product, answers any questions you might have, and of course sends you a sample for your trouble!



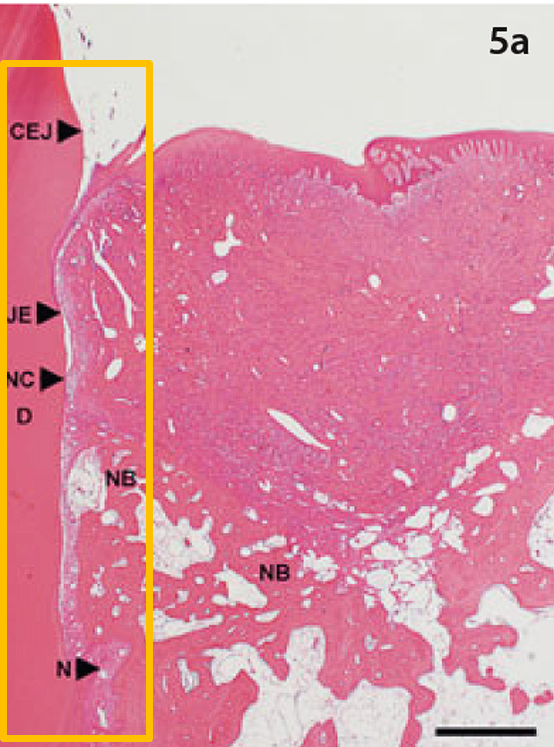
Hyaluronic acid supports regeneration of healthy bone
Hyaluronic acid accelerates regeneration of periodontal ligament and cementum
Hyaluronic acid drives organized regeneration, restoring normal anatomy and preventing disordered hyperplastic healing
Open Flap Debridement (OFD)

Control has gaps and tissue void along the periodontal ligament.
OFD + Hyaluronic Acid (HA) (fig. 1)

With HA, appropriate periodontal anatomy is restored.
OFD + Hyaluronic Acid (HA) (fig 2.)

At higher magnification, the periodontal ligament has interwoven collagen fibers and attachment to new bone and cementum


HA enhances the efficacy of OFD by promoting new bone formation
Enter your contact information below and we'll get back to you as soon as possible.